业务咨询
【评价原理】
酒精进入人体后90%进入肝脏进行代谢,长期过量饮酒诱发酒精性脂肪肝,临床表现为肝脏受脂肪浸润。由于斑马鱼拥有与人类相似的消化系统,如肝脏、肠道等,消化和营养的吸收及运输与人类高度相似,在大量摄入酒精后,肝脏也会出现脂肪变性(酒精性脂肪肝)的情况。
经过脂肪特异性染色(呈红色),患有酒精性脂肪肝的斑马鱼的肝脏会明显比正常斑马鱼的肝脏要红很多,由于斑马鱼通体透明的特点,可以明显被观察到。
【实验方案】
我们将受测试斑马鱼分成三组,分别是正常对照组、模型对照组和服用解酒剂组。其中正常对照组未摄入酒精,模型对照组与服用解酒剂组都摄入了等量的酒精(酒精通过溶解到养鱼用水中的方式摄入到斑马鱼体内)。服用解酒剂组在摄入酒精的同时摄入RU21、海王金樽之类的解酒剂。
服用一定时间解酒剂后,我们对斑马鱼整体做脂肪特异性染色,观察肝脏的脂肪变化,同时制作成病理切片观察肝脏的病理结构变化。
【结果展示】

图1. 斑马鱼酒精性脂肪肝表型图
黄色虚线区域为肝脏,肝脏内红色代表脂肪
可以看到,服用解酒剂组的肝脏情况与未摄入酒精的正常对照组比较相似,没有明显的脂肪沉积。

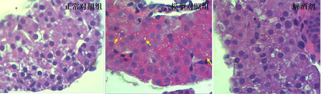
图2. 肝脏病理切片
黄色箭头指向脂肪颗粒
从病理切片中也能看出来,酒精性脂肪肝斑马鱼的肝脏有很多脂肪颗粒,而服用解酒剂组的肝脏情况与未摄入酒精的正常对照组都没有出现类似的脂肪颗粒。
【评价结论】
1.经过每组30尾斑马鱼的对比实验,服用解酒剂组的肝脏情况与未摄入酒精的正常对照组相似,并未出现模型对照组的出现大量脂肪颗粒(酒精性脂肪肝)的情况。
2.本实验证实了RU21、海王金樽解酒剂具有疏肝解酒(酒精性脂肪肝防治)功效。


